Skip to main content
Wir sind immer für Sie da

Kontaktieren Sie uns oder buchen Sie einen Termin

Jameda
Google Business
Facebook Page
Instagram
6500
zufriedene Patienten
21000
Behandlungen
16
Langjährige Erfahrung
Reine Atemluft für Behandler, Team und Patienten

Liebe Patientinnen und Patienten,

mit der Ozontherapie in der Zahnmedizin erzielt man enorme Behandlungserfolge in einem äußerst breiten Anwendungsspektrum. Die Prophylaxe und Behandlung von Parodontitis ist mit dem Ozontherapiegerät schmerzarm, zeitsparend und sicher. Gleiches gilt für die Therapie von Aphten und Kiefergelenkneuralgien. Ozon kann effektiv bei oralchirurgischen Eingriffen, in der Implantologie und bei Endodontiebehandlungen zur Desinfektion eingesetzt werden. Die Ozonbehandlung ist sicher und dabei schmerzärmer und schneller als herkömmliche Verfahren. Dem Trend zur ganzheitlichen Zahnmedizin folgend, wird die Ozontherapie in Deutschland auch von den Patienten immer stärker nachgefragt. Durch den Einsatz von Ozon zur Keimabtötung kann häufig auf die Gabe von Antibiotika verzichtet werden.

 Ihr Zahnarzt-Team Dr. Nikolay Andreevich, M.Sc.

Leistungen

Zahnpflegedienste

Ästhetische Zahnmediziner in Feldkirchen

Endodontie oder auch Endodontologie heißt wörtlich „Die Lehre vom Zahninneren“. Dieses Teilgebiet in der Zahnheilkunde befasst sich mit den Erkrankungen des Innengewebes, dem Pulpa-Dentin-Komplex und ebenso mit den Wurzelspitzenbereichen.

Unsere Zähne haben vielseitige Aufgaben zu erledigen und sind nicht ausschließlich für die Nahrungsaufnahme und der Zerkleinerung zuständig.

Mit der Kinderzahnheilkunde beschreibt man die Behandlung von Zahnproblemen und Krankheiten, die bei Kleinkindern und Jugendlichen auftreten können.

Bleaching ist ein Verfahren zur Zahnaufhellung und vom englischen Wort „to bleach“ für Bleichen abgeleitet

Eine professionelle Zahnreinigung bietet Ihnen als unser Patient gleich mehrere Vorteile.

Eine Schienentherapie wird in der Regel bei der Diagnose einer dysfunktionalen Erkrankung des Kausystems durchgeführt.

Parodontologie ist die „Lehre vom Zahnhalteapparat“. Diese umfasst die Erkennung und Behandlung von entzündlichen und degenerativen Veränderungen des Zahnbettes (Parodontium)

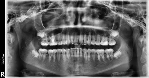
Digitales Röntgen wird überwiegend bei der Feststellung und zur Kontrolle eines Krankheitsverlaufs vorgenommen.

Qualitativ hochwertige Behandlung aus Leidenschaft für zufriedene Gesichter steht im Mittelpunkt unserer Philosophie.

Ihre Wünsche und Zufriedenheit gehen Voraus!

Aus allgemeinmedizinischerer Sicht sind wir an menschlicher Gesundheit sehr interessiert. Als junges Team stehen wir Ihnen zum Rat und Tat zur Seite. Unser Handeln zeichnet sich durch Sorghaft, Mitgefühl und Proffessionalität in einer modern ausgestatteten Praxis aus.

Im Mittelpunkt unseren Behandlungen steht der Zahnerhalt. Ganz einfach, weil es nichts Besseres gibt als die eigenen Zähnen erhalten zu können. Aus diesem Grund investieren wir Zeit für Ihre persönliche Situation Lösungen zu finden, Sie dementsprechend aufzuklären und Sie nach Ihren Bedürfnissen zu behandeln.

Sie werden bei uns ausführlich und kompetent beraten. Anschließend besprechen wir mit Ihnen zusammen die Behandlungsschritte. Wir stehen dafür, dauerhafte Lösungen für Ihre Zähne zu finden. Wir legen immer Wert darauf, Sie schmerzfrei, leidenschaftlich und mit Fingerspitzgefühl zu behandeln.

Wir freuen uns Sie aufmerksam gemacht zu haben und heißen Sie heute noch herzlich willkommen in unserer Praxis.

Ihr Zahnarztpraxis-Team

Unser Team

Qualifiziertes Personal

Ästhetische Zahnmediziner in Feldkirchen

  • Dr. Nikolay Andreevich

    Dr. Nikolay Andreevich

    Dr.med.dent.M.Sc.
  • ZÄ Zlatomira Paskova

    Assistent-Zahnärztin
  • Ekaterina  Andreevich

    Ekaterina Andreevich

    Praxismanagerin, Magister-Soziologin
  • Simona Mitova

    Simona Mitova

    ZMP
  • Simona Stancheva

    Simona Stancheva

    ZFA
  • Pinki Rani

    Pinki Rani

    Azubi
  • Aileen Bauerfeind

    Aileen Bauerfeind

    Azubi